奥歯3本を
インプラント治療する
費用はいくら?
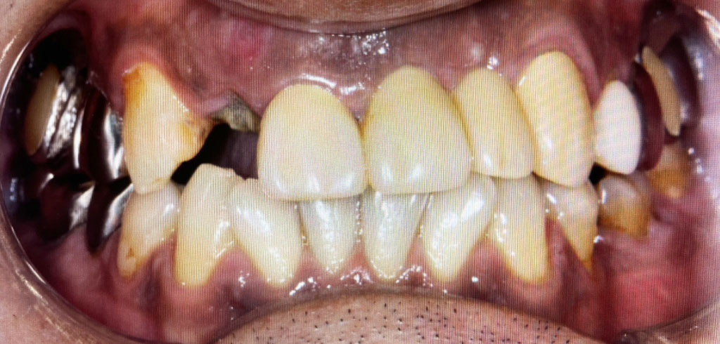
奥歯3本が抜歯になってしまった場合、「3本もインプラントで治療できるか費用面で不安」という方もいらっしゃるかと思います。 また、「インプラント以外に、納得できる補綴方法(修復物に...
詳しくみる
東京でインプラント治療なら
千賀デンタルクリニックへ
当院では、インプラント治療の専門ドクターが多数在籍しておりますので、 他院で断られてしまった難しいインプラント治療ケースであっても対応可能です。
インプラントの治療方法について丁寧にご説明させていただきますので、どうぞお気軽にご相談ください。
1
インプラント治療の専門ドクターが多数在籍しておりますので、手術時間が短い、痛みが少ない安心安全のインプラント治療が行えます。
他院で断られてしまった難しいインプラントのケースであっても対応可能です。
日本口腔外科学会の資格保有者数
※2026年4月現在
2
インプラント治療で「相談したいけど、平日しか空いてない…」などのお悩みございませんか?
当医院は、年中無休で夜8時まで診療しています。患者様をお待たせしない体制を整えておりますので、学校・お仕事終わりでもお気軽にお立ち寄りください。
経験を積んだドクターが土日祝日も担当いたします。
3
手術した当日から食事が可能です。
※症例によっては対応出来ない場合があります。
【こんな方にオススメ】
・面接
・結婚式
・前歯の治療
・人前に立つ仕事で歯をすぐに入れる必要がある人
4
当院では専門の麻酔科医が在籍しており、痛みの原因を取り除くために、静脈内鎮静法を用いて、うたた寝をしているようなリラックスした状態で治療を受けることができます。全身麻酔ではなく意識はありますが、不安や恐怖心を軽減し、快適に治療を進めることが可能です。麻酔専門の医師が全身状態を管理するため、安心して治療をお受けください。
※新宿駅東口医院のみ
※別途料金
5
千賀デンタルクリニックでは、「ストローマン社製」のインプラントを使用してます。
ストローマンインプラントは、歯科用インプラントの世界シェアNo.1の世界最高のインプラントです。
6
当院ではストローマンインプラントとセラミックを組み合わせた最高品質のインプラント治療を1本あたり月々4,300円〜でご提供しております。
また、インプラント治療後は、「自信の最長10年保証」をお約束しております。
インプラント治療は、歯を失った場合に人工的な歯根を埋め込んで新たな歯を再建する治療方法です。
特にストローマンインプラントは、50年にわたる研究と開発の成果に支えられ、これまでに1,300万本以上が世界中で使用され、500万人以上の患者さんが「第二の永久歯」を取り戻しています。
ストローマンインプラントは70ヵ国以上で導入され、世界でもトップクラスのシェアを誇る信頼性の高いインプラントシステムです。
成功率97%・生存率98.8%というエビデンスが品質の高さを示しています。
スイスのベルン大学で行われたストローマンインプラントの10年間の臨床研究では、511本のインプラントを使用し、成功率(97%)・生存率(98.8%)が報告されており、長期的な信頼性の高さが証明されています。
DOCTOR
世界的なインプラント学術団体であるInternational Team for Implantology(ITI)でフェローを務める、卓越した経験と実績を持つインプラント治療の専門家。
2009年には自身が設計を手掛けたインプラントが市販化されるなど、治療分野のみならず開発分野でもインプラント技術の発展に大きく貢献。
豊富な臨床実績と大学病院での教育経験を基に、患者様一人ひとりに合わせた精密なインプラント治療をご提供します。
医療法人誓栄会 千賀デンタルクリニック
インプラント担当医
歯科医師・歯学博士・ITIフェロー
藤森 達也
| 1998年 | 東京医科歯科大学(現 東京科学大学)卒業 |
|---|---|
| 1998年〜 | 東京医科歯科大学 第一矯正学講座 研修医 |
| 2000年〜 | 東京医科歯科大学大学院 インプラント学 |
| 2004年〜 | 東京医科歯科大学歯学部附属病院 インプラント外来 |
| 2009年〜 | 東京医科歯科歯学部インプラント学 非常勤講師 |
| 2005〜2017年 | 東京医科歯科大学‐山八歯材工業 ミューワンインプラント開発顧問 |
|---|---|
| 2006〜2022年 | 早稲田医学院衛生士専門学校 補綴、 先端医療(インプラント学)講師 |
| 2013年〜 | ITIハンズオン 2day 1dayベーシックセミナー |
|---|---|
| 2018年〜 | ストローマンハンズオン 1dayベーシックセミナー 他 |
| 2008年〜 | Straumann Japan インプラントベーシックセミナー |
| 2011年〜 | Straumann Japan ボーンレベルインプラントの臨床応用(外科編、補綴編)他 |
| 2023年 | Straumann Forum 部位別にみるアバットメント選択と設計 他 |
| 2023年 | 日本口腔インプラント学会 歯科インプラント用ドリルの傾斜骨における滑り性の評価 他 |
|---|
International Team for Implantology (ITI)は、世界100か国以上から2万人を超えるメンバーを擁する、インプラント学術分野で世界的に権威ある団体です。
ITIが認定する「ITI公認インプラントスペシャリスト(認定医)」は、治療実績や学会発表などの厳しい審査をクリアした者だけが取得できる資格です。ITI公認インプラントスペシャリストは、科学的根拠に基づく、安全で身体に優しいインプラント治療の提供において世界的な専門家とされています。
ITIのメンバーの中でも、リーダーシップ、研究、教育の分野で高い実績を挙げた者は、「ITIフェロー」として認定されます。
ITIフェローは、日本国内においてわずか128名しかおらず(2024年10月時点)、非常に名誉ある資格です。
当法人では、ITIフェローの藤森先生をはじめとして、ITI公認インプラントスペシャリストや世界的大手インプラントメーカーのストローマン社が認定したインプラント治療のスペシャリストとパートナー契約を結び、安心安全なインプラント治療を実現します。
安全で確実な治療をお求めの方は、ぜひ当院へご相談ください。
当院では、普段の診療を通して患者様の
口腔内を誰よりも把握している「担当医」と、
インプラントと骨が安定する埋入位置を見極める
「インプラント担当医」の2人の担当医が
一緒にオペを行います。
分野の違うスペシャリストが手がけることで、
オペの安全性を高め、
美しくフィットした歯を入れることを可能にしています。
なるべく短時間で負担の少ない手術をめざします。
※症例によっては
「担当医」が1人で手術を行う場合もあります。
インプラント相談
治療計画・費用の説明
痛みや腫れなどの症状がある場合、痛みを和らげる応急処置を優先的に行います。
インプラント治療
(二回法の場合)
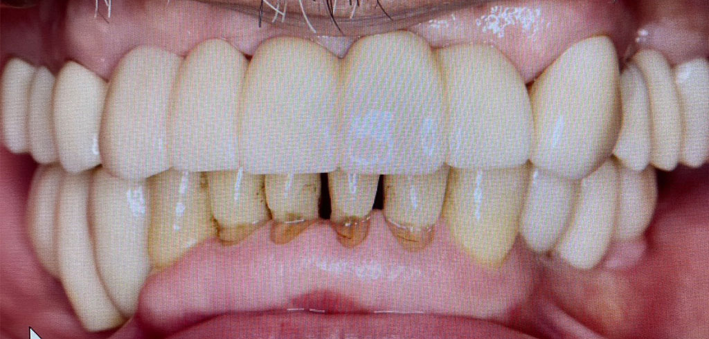
千賀デンタルクリニックでは、インプラントと人工歯がセットの金額でご提供しております。
※デンタルローン96回払いの場合の一例です。お支払い金額は条件により異なります。

*縦にスクロールできます
奥歯3本が抜歯になってしまった場合、「3本もインプラントで治療できるか費用面で不安」という方もいらっしゃるかと思います。 また、「インプラント以外に、納得できる補綴方法(修復物に...
詳しくみる「失った奥歯を治療したい。でも、予算がわからない...」と、お悩みの方も少なくありません。 そこで今回の記事では、インプラントで奥歯2本を治療した場合にかかる費用相場や内訳、メリ...
詳しくみるインプラントは失った奥歯を補う上でとても優れた治療法ですが、すべてのケースで必要とは限りません。患者様のご年齢や健康状態などによっては、他の選択肢が適している場合もあります。 歯...
詳しくみる失った奥歯を治療する方法として、主にインプラント、ブリッジ、入れ歯(義歯)がありますが、「どの治療が自分には合っているのか迷っている」という方も少なくありません。 奥歯は、専門的...
詳しくみるインプラント「即時荷重」とは? 歯科インプラントの「即時荷重」とは、インプラント体を埋入してすぐに上部構造(仮歯)を装着する術式のことです。 医院によっては「即日イン...
詳しくみるインプラントの平均寿命は10〜15年前後 一般的なインプラントの寿命は10年程度とされており、10年後の平均残存率は90%以上と報告されています。 患者様のあごの骨...
詳しくみるインプラント2本でブリッジ治療をすることは可能? 当院では、インプラント2本でブリッジ治療をすることも可能です。 「費用をなるべく安く抑えたい方」や、「手術の負担を軽減したい...
詳しくみるインプラントで前歯4本を治療する方法とは? 前歯4本のインプラント治療には、主に2種類の方法があります。 2本のインプラント+ブリッジで4本の歯を作る 前歯に4本...
詳しくみるインプラント治療の費用相場(値段・平均価格・金額・料金)と内訳はいくら? 近年の東京のインプラント費用相場(値段の目安)は、一本あたり30万円〜50万円前後が目安となります...
詳しくみるインプラントで前歯2本を治療する費用相場はいくら? インプラントで前歯2本を治療する費用相場は60万円〜100万円です。 前歯1本あたり30万円〜50万円程度が目安となります...
詳しくみるインプラント「オールオン4」の費用について 歯科インプラントにおけるオールオン4(All-on-4、オールオンフォー、オール・オン・フォー)とは、片あご全ての歯に対して最少4本の...
詳しくみる老後のインプラントはやめるべき? 歯科のインプラントは、失った歯の見た目や機能を取り戻せる優れた治療法ですが、「老後のインプラントはデメリットが多い」「インプラントの老後は悲惨」...
詳しくみる前歯と奥歯でインプラントの値段(治療費)は異なる? 歯科インプラントの値段(治療にかかる費用)は、基本的に前歯と奥歯では大きな違いはありませ...
詳しくみるインプラントで東京の名医・おすすめの歯医者とは? 歯科のインプラント治療は「第二の永久歯」とも称され、半世紀以上にわたり国内外...
詳しくみるインプラントのローン払いは可能?金利や月々の支払いが気になる方へ 「歯科のインプラント治療をしたいけど、一度に大きい出費は避け...
詳しくみる他院でインプラントを断られた・できないと言われた方へ 東京・埼玉・神奈川・大阪・名古屋にグループ医院を展開する歯医者 千賀デン...
詳しくみるジルコニアインプラントとは? ジルコニアインプラントとは、ジルコニアと呼ばれるセラミック素材を用いたインプラントのことです。 ...
詳しくみる世界シェアNo.1「ストローマンインプラント」とは ストローマンインプラント(Straumann)とは、スイ...
詳しくみるインプラント治療は保険適用?適用外? 歯科のインプラント治療とは、歯を失った箇所に人工歯根(チタン製の歯の根っこ=インプラント体)を埋入する治療法です。 インプラント治療は一部例外を...
詳しくみるインプラント費用が安い(安すぎる)のは大丈夫? 歯科のインプラント治療について調べれば調べるほど、さまざまな不安が出てくるかと思います。 近年の東京におけるインプラント費用相場は...
詳しくみる歯科インプラント治療は「医療費控除」の対象?対象外? インプラント治療は医療費控除の対象です 歯科のインプラント治療は、原則として保険が適用されない治療(自由診療・自費治療)となりま...
詳しくみる歯科インプラントの費用相場(値段・平均価格・金額・料金)はいくら? 近年の東京のインプラント費用相場(値段の目安)は、一本あたり300,000円〜500,000円前後が目安となります。...
詳しくみる歯のインプラントがいつまでもつのか気になる方へ 歯を失い治療を検討される際、「インプラントを使用できる年数や平均寿命が気になる」という方も多いかと思います。 今回は、歯科インプラ...
詳しくみる20代・30代・40代でインプラント治療はできる? 患者様の中には20代・30代・40代で歯を失い、若いうちからインプラントになることに不安を抱えている方もおられるかと思います。 今回...
詳しくみるインプラント治療後のメンテナンス:費用の目安とは? インプラント治療後のメンテナンスにかかる費用の目安は、通常1回のメンテナンスあたり3,000円~10,000円程度が相場となります。...
詳しくみるインプラント治療期間について インプラント治療にかかる期間は、患者様のお口の状態や治療箇所などによっても個人差があります。 以下、一般的なインプラント治療期間の目安についてご紹介しま...
詳しくみるインプラント治療の一回法/1回法と、 二回法/2回法とは? 歯科のインプラント治療(人工歯根治療)を検討される中、「一回法と二回法って何?」「自分はどちらがいいのだろう?」と悩まれている...
詳しくみる東京の歯医者 千賀デンタルクリニックのインプラント専門外来は、「セカンドオピニオン対応」歯科医院です 以下のようなお悩みのある方はぜひご相談ください 痛みや不安の少ないイン...
詳しくみる寝ているうちに手術がおわる睡眠無痛治療(静脈内鎮静法)とは? インプラント手術は、局所麻酔のみで行なっても術中に痛みはありませんが、不安や恐怖心まではなくすことはできず、患者...
詳しくみるインプラント治療の「サイナスリフト」「ソケットリフト」とは インプラント治療における「サイナスリフト」と「ソケットリフト」とは、どちらも『上あごの骨を増やすため...
詳しくみるインプラントの「サージカルガイド」とは? サージカルガイドとは、インプラントの埋入手術の際に使用するガイドシステムです。「ガイデッドサージェリー」とも呼ばれます。 サージカルガイドはマウ...
詳しくみるインプラント治療の流れ(治療手順・治療時間) 歯科インプラント治療は、患者様のご希望や症状などによって治療内容が異なります。 ここでは、当院の一般的なインプラント治療(二回法の場合)の流れ...
詳しくみるインプラント周囲炎(しゅういえん)とは? インプラント周囲炎とは、インプラント周辺の組織が歯周病に感染した状態のことを言います。 通常の歯周病は、歯と歯茎の境目に溜まった汚れや細菌によって歯肉...
詳しくみるインプラントの骨造成とは? 歯科インプラントの「骨造成」とは、歯周病や加齢などの理由で溶けたり退化した顎の骨を、高度な医療技術によって再生をはかる(骨を造る)治療方法です。...
詳しくみるインプラントの「抜歯即時埋入」とは 歯科インプラント治療の術式(手術の方法)の一つに、「抜歯即時埋入」があります。抜歯即時埋入インプラントとは、抜歯後すぐにインプ...
詳しくみるインプラントで全部の歯を治療できる?(総インプラントは可能?) インプラントは上下全部の歯を入れること(適応)も可能です。 総入れ歯でよく聞かれる「見た目の目...
詳しくみるインプラントと差し歯の違いって何?歯科の治療法として「差し歯」や「インプラント」は知ってるけど、実際にどのような違いがあるのか疑問に思っている方もいらっしゃるのではないでしょうか。インプラントと差し歯...
詳しくみるインプラント治療中の仮歯ってなに?インプラント治療における「仮歯」とは、最終的に装着する人工歯(上部構造/被せ物)の代わりとして、一定間、歯が無い状態をカバーする仮の歯のことです。歯科インプラント治療...
詳しくみるオールオン4(オールオンフォー)とは?歯科インプラントにおけるオールオン4(All-on-4、オールオンフォー、オール・オン・フォー)とは、片あご全ての歯に対して最少4本のインプラント体(人工歯根)の...
詳しくみる歯科インプラントのオールオン4(オールオンフォー)とは? 歯科インプラントにおけるオールオン4(All-on-4、オールオンフォー、オール・オン・フォー)とは、片あご全ての歯に対し...
詳しくみるインプラントとは インプラントとは、歯を失った箇所に人工歯根(チタン製の歯の根っこ=インプラント体)を埋入する治療法です。歯の見た目と機能の回復をはかります。失った歯を補う治療法とし...
詳しくみる歯科のインプラントとは? 歯科のインプラント治療とは、歯を失った箇所に人工歯根(チタン製の歯の根っこ=インプラント体)を埋入する治療法です。歯の見た目と機能の回復をはかります。失...
詳しくみるインプラント治療のメリット・デメリットとは? 失った歯を補う治療法として、主に入れ歯やブリッジ、インプラントなどの方法がありますが、インプラントは他の治療法と比較しても様々...
詳しくみる東京でインプラント治療なら千賀デンタルクリニックへ
当院では、インプラント治療の専門ドクターが多数在籍しておりますので、 他院で断られてしまった難しいインプラント治療ケースであっても対応可能です。
インプラントの治療方法について丁寧にご説明させていただきますので、どうぞお気軽にご相談ください。
PLAN 01
インプラント1本プラン
スタンダードなインプラント治療です。
痛み・腫れを最大限少なくしたインプラント治療を行います。
PLAN 02
複数本プラン
複数本のインプラント治療です。治療期間を短くしたい人にオススメです。
痛み・腫れを最大限少なくしたインプラント治療を行います。
PLAN 03
短期集中治療
1Dayインプラント
(トリートメント)
手術した当日に抜歯から仮歯の装着まで終わります。インプラント治療を早く終わらせたい方にオススメです。
※患者様の口腔内の状態次第で、対応できない場合もございます。
PLAN 04
リラックスプラン
痛いのが嫌だ、歯医者が苦手・
手術が怖い人でも大丈夫
静脈鎮静をプラスしたインプラント治療で、歯医者が苦手な方にオススメです。
静脈鎮静は専門の麻酔科医が行い、高度な術中管理を行います。
全身麻酔に近い感覚で寝ている間に終わります。入院は不要ですので忙しい方でも大丈夫です。
※新宿駅東口医院のみ
※別途料金
新宿の歯医者
千賀デンタルクリニック
新宿駅東口医院新宿駅東口より1分・
新宿三丁目駅B6出口直結
新宿の歯医者
新宿駅東口
デンタルクリニック
新宿アオキビル医院新宿駅東口より1分・
新宿アオキビル5階
巣鴨の歯医者
千賀デンタルクリニック
アトレヴィ巣鴨医院巣鴨駅直結・アトレヴィ巣鴨内
上野の歯医者
千賀デンタルクリニック
上野マルイ医院上野駅より2分・上野マルイ内
田端の歯医者
千賀デンタルクリニック
アトレヴィ田端医院JR田端駅直結・アトレヴィ田端3階
西新井の歯医者
千賀デンタルクリニック
イオン西新井医院西新井駅より1分・
イオン西新井店内
分倍河原の歯医者
千賀デンタルクリニック
分倍河原MINANO医院分倍河原駅より1分・
分倍河原MINANO内
相模大野の歯医者
千賀デンタルクリニック
ボーノ相模大野医院相模大野駅より3分・
ボーノ相模大野内
南浦和の歯医者
千賀デンタルクリニック
まるひろ南浦和医院南浦和駅より1分・
まるひろ南浦和SC内
中野の歯医者
千賀デンタルクリニック
中野マルイ医院中野駅徒歩1分・
中野マルイ6階
大宮の歯医者
千賀デンタルクリニック
大宮アルシェ医院大宮駅すぐ・
大宮アルシェ6階
川口市前川の歯医者
千賀デンタルクリニック
イオンモール川口前川医院イオンモール川口前川医院2階
海老名の歯医者
千賀デンタルクリニック
ららぽーと海老名医院JR海老名駅より1分・
ららぽーと海老名1階
天王寺の歯医者
千賀デンタルクリニック
天王寺あべのキューズモール医院JR天王寺駅より2分・
あべのキューズモール2階
川崎の歯医者
千賀デンタルクリニック
ウィングキッチン
京急川崎医院京急川崎駅より直結・
ウィングキッチン京急川崎4階
名古屋の歯医者
千賀デンタルクリニック
名古屋パルコ医院矢場町駅より2分・
名古屋パルコ西館6階
浦和の歯医者
千賀デンタルクリニック
浦和パルコ医院浦和駅より1分・浦和パルコ7階
吉祥寺の歯医者
千賀デンタルクリニック
ヨドバシ吉祥寺医院吉祥寺駅より3分・
ヨドバシ吉祥寺7階
小岩の歯医者
千賀デンタルクリニック
ファスタ小岩医院小岩駅より1分・FIRSTAⅠ2階
町田の歯医者
千賀デンタルクリニック
町田東急ツインズ医院町田駅より1分・
町田東急ツインズ(ウエスト)7階
鶴見の歯医者
千賀デンタルクリニック
シァル鶴見医院鶴見駅より1分・CIAL鶴見5階
八王子の歯医者
千賀デンタルクリニック
八王子オクトーレ医院八王子駅より1分・
八王子オクトーレ9階
大井町の歯医者
千賀デンタルクリニック
大井町トラックス医院大井町駅より7分・
OIMACHI TRACKS 5階
赤羽の歯医者
赤羽駅前デンタルクリニック
ビビオ赤羽医院赤羽駅より1分・
ビビオ赤羽B1階